
★★★★★
120+
✔️ Baja hasta 5 tonos
✔️ Tratamiento personalizado segun tu sonrisa
✔️ Limpieza dental GRATIS
✔️ Escaneo con camara-intraoral
✔️ Resultados reales que NO DESAPARECEN
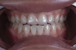
Galeria
¿Por qué tantos blanqueamientos no funcionan o causan dolor?
🪥 La mayoría de los blanqueamientos “rápidos” usan concentraciones altas con LED que pueden:
❌ Provocar sensibilidad intensa
❌Dañar el esmalte
❌Dar resultados temporales
Por eso muchas personas se decepcionan o tienen miedo de volver a intentarlo.
Blanqueamiento dental con enfoque CLINICO y ESTETICO
🦷 Nuestro blanqueamiento es nocturno para permitir que el diente se aclare mientras duermes sin agredir su estructura.
Este proceso es ideal para quienes buscan:
👉 El resultado: dientes más blancos, sanos y sin sensibilidad.
🎈 No solo cambia el color de tus dientes, cambia cómo te sientes al sonreír
✅ Sonríe con confianza
✅ Mejora tu imagen personal
✅ Resultados naturales y estéticos
✅ Sin dolor
📍resultados reales, notorios y sin dolor.

Mi sonrisa cambió el blanqueamiento fue efectivo y sin sensibilidad.
Atención cercana y profesional, el resultado superó mis expectativas totalmente.
★★★★★
★★★★★
Mejores calificados en Google
Soy la Dra. Damaris Ángeles, Cirujana Dentista egresada de la UNAM, con más de 7 años de experiencia en estética dental.
Mi objetivo es ofrecerte tratamientos reales y seguros.
Mi enfoque en la estética me permitiéndome ofrecer tratamientos personalizados que reflejan las últimas tendencias, técnicas y actualizaciones
212+
7+
Transformando Sonrisas
Pacientes Felices


Todo tu MES por solo
3,100 MX$
(Sin ningún cargo extra)
¿Dónde están ubicados?
Av Insurgentes sur 1216 (justo enfrente de parque hundido) consultorio 208 piso 2.
¿Qué métodos de pago aceptan en la clínica?
Efectivo, Transferencias, TDC & TDD. se puede pagar en dos pagos diferidos
¿Qué horarios de atención tienen para agendar citas fácilmente?
De LUNES a DOMINGO de 9am a 9pm.
¿Cuánto tiempo dura el efecto del blanqueamiento dental?
El resultado del blanqueamiento es duradero. Al ser un tratamiento de un mes y no de una sola sesión, logramos un aclarado real estable y visible
Ubicación
Nos encontramos en una ubicación de fácil llegada.
📍Av. Insurgentes Sur 1216-consultorio 208, Tlacoquemecatl del Valle, Benito Juárez, 03100 Ciudad de México, CDMX
Dirección
Horario
Lun a Dom 9am-9pm





